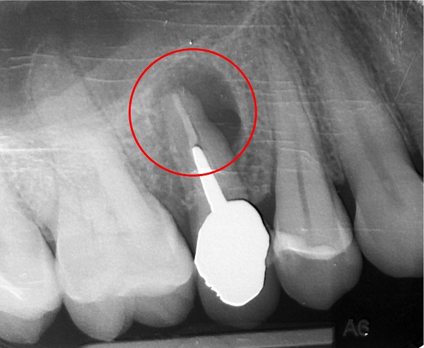
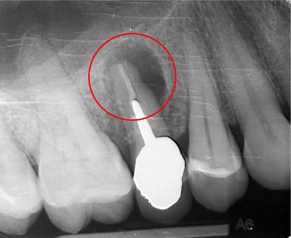
Il granuloma non è un tumore e non va operato.
Infatti è una reazione infiammatoria di tipo cronico (cioè che dura da molto tempo) costituita da un ammasso di cellule addette alla difesa dell’organismo che si dispongono a cerchio attorno all’apice del dente, quasi a costituire un tappo, un argine alla grande quantità di batteri che proviene dal canale del dente non ben devitalizzato oppure dal “nervo” morto e non asportato (polpa dentale necrotica).
Ora che sappiamo cos’è il granuloma (si badi bene una radiografia può far sospettare la sua esistenza!) e da cosa è causato, è facile capire come si “combatte”. E’ sufficiente che il dentista faccia una corretta terapia canalare (la cosiddetta devitalizzazione) per risolvere definitivamente il problema. Infatti se il canale dentale verrà perfettamente deterso, preparato ed otturato in tutta la sua lunghezza fino all’apice, il granuloma si riassorbirà progressivamente perché finirà il suo compito di difesa. Succede, invece che alcuni dentisti intervengono chirurgicamente per eliminare il granuloma, soprattutto sugli incisivi dove è particolarmente semplice una devitalizzazione (terapia canalare). Intervengono asportando il granuloma e parte della punta del dente (apicectomia). Solo alcuni otturano anche il canale dall’alto, operazione questa (retrograda), che permetterebbe, in discreta misura, di evitare una ricaduta (recidiva del granuloma). recidiva, che altrimenti è inevitabile.
Dunque indicazione sbagliata e, intervento sbagliato. Tutto perché non si sa “devitalizzare” un incisivo ( il più facile). L’unica indicazione ad una “retrograda” (otturazione del dente dall’apice alla radice) si ha quando non è possibile entrare nel canale attraverso la via normale del dente per la presenza di un perno cementato al suo interno.

Gianfranco Aiello è stato docente di odontoiatria presso l’Università di Padova, svolge la sua attività professionale a Milano e Salerno.
Presiede l’attività di ricerca dell’Accademia di Estetica Dentale Italiana e dell’Istituto Odontoiatrico Italiano ed è stato consulente della Fondazione Veronesi.
Collabora con diverse testate giornalistiche ( Starbene, ecc.) e televisive.
Cura il sorriso di molte star dello spettacolo, dello sport, ma anche, gratuitamente, quello dei bambini bisognosi e segnalati da istituzioni umanitarie. www.istitutoodontoiatricoitaliano.it www.esteticadentale.it