I danni della sigaretta ai tessuti orali
Il fumo è capace di indurre delle modificazioni patologiche del cosiddetto microcircolo gengivale che è la porzione delle piccole arterie che portano ossigeno e nutrizione alla gengiva.
Degli studiosi hanno condotto l’indagine sperimentale con tecniche sofisticate: la videocapilloroscopia e la flussometria laser doppler. Questa ricerca conferma le osservazioni scientifiche di molti altri studi che attribuiscono responsabilità significative al fumo nello sviluppo delle malattie gengivali in correlazione a fattori già noti come la cattiva igiene orale, una predisposizione individuale, diabete e alcune malattie genetiche.
In particolare tra le sostanze contenute nel fumo la nicotina e il monossido di carbonio sembrano avere un ruolo di primo piano. Questi ultimi tra gli altri effetti negativi, pare possano indurre anche una diminuzione dei linfociti T helper, cellule deputate alla difesa degli attacchi patologici esterni e quindi dell’aggressione dei tessuti sani da parte della placca batterica.
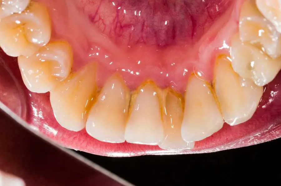
L’azione negativa che il fumo esercita sui denti è in qualche modo più visibile e più nota; parliamo delle macchie e della colorazione scura del tartaro. Pìù rara è invece, essenzialmente nei grandi fumatori , la discromia da fumo, cioè una ipercolorazione grigio nera interna alla sostanza dentale. In questo caso non è sufficiente una semplice seduta di igiene orale ma occorre, per eliminare la colorazione scura, una procedura di sbiancamento (da preferire su tutte la cosiddetta tecnica di sbiancamento domiciliare notturno).
Inoltre il fumo induce l’ingiallimento delle otturazioni estetiche in materiale composito (miscela di resina e cristalli di quarzo) e infiltrazioni secondarie al distacco del sigillo col dente.
Infine sempre nei grandi fumatori si ha la tipica colorazione scura della lingua e delle mucose orali, e una conseguente alitosi di difficile gestione.
Anche gli impianti ne soffrono.
Il fumo è controindicato nel post-operatorio implantologico (cioè appena dopo aver inserito un impianto) e per almeno 15 giorni.
La prognosi, cioè il risultato a distanza, è influenzata dal numero di sigarette fumate in un giorno.

Gianfranco Aiello è stato docente di odontoiatria presso l’Università di Padova, svolge la sua attività professionale a Milano e Salerno.
Presiede l’attività di ricerca dell’Accademia di Estetica Dentale Italiana e dell’Istituto Odontoiatrico Italiano ed è stato consulente della Fondazione Veronesi.
Collabora con diverse testate giornalistiche ( Starbene, ecc.) e televisive.
Cura il sorriso di molte star dello spettacolo, dello sport, ma anche, gratuitamente, quello dei bambini bisognosi e segnalati da istituzioni umanitarie. www.istitutoodontoiatricoitaliano.it www.esteticadentale.it