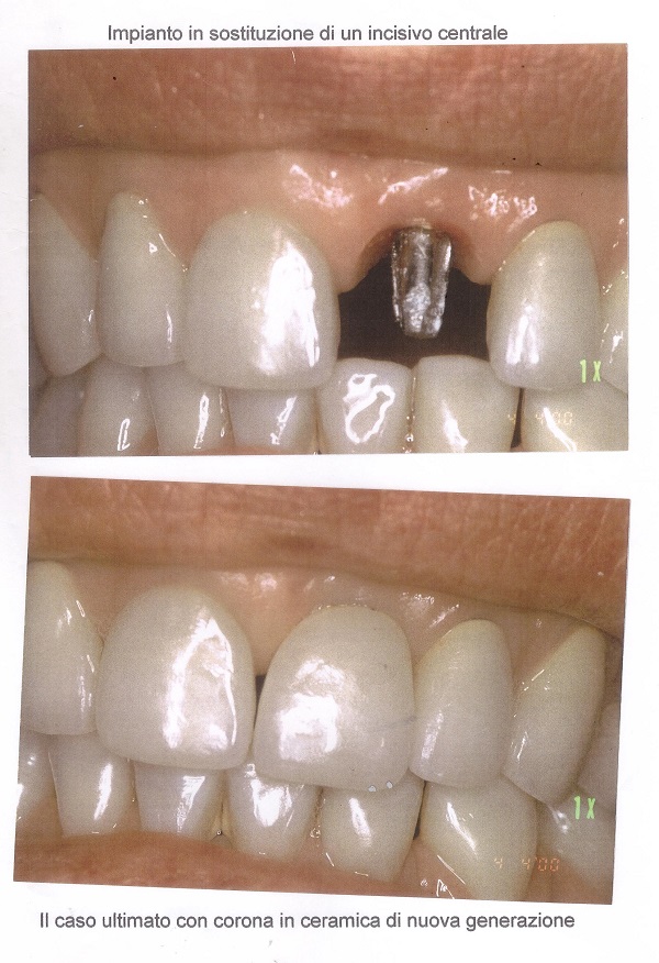
L’IMPIANTO OSTEOINTEGRATO

Scienza e Salute

L’impianto osteointegrato potrei definirlo come una vite in parte vuota al suo interno, che viene posizionata all’interno dell’osso.

Dopo un periodo variabile, da subito a tre- sei mesi , al suo interno viene avvitato il “moncone” , su cui sarà inserita la corona (più conosciuta come capsula). Ovviamente esiste una vasta gamma di variabili e di situazioni talora complesse, che hanno fatto si che oggi ci siano dei superspecialisti del ramo che si chiamano implantologi.

Gli studi ben organizzati con un organico di superspecialisti hanno sempre un implantologo.

Perché sono così diversi i costi? Il costo degli impianti delle grandi case internazionali è sostanzialmente livellato. Un impianto comprensivo di tutte le sue componenti costa 1400 1500€, in qualsiasi posto del mondo.

Impianti di altri case “secondarie”, le copie, i cloni ecc (ce ne sono circa un migliaio!!!) riescono a costare anche cinque sei volte in meno. Insomma, conviene chiedere sempre la marca dell’impianto e il suo certificato individuale.

Quelli che mettono impianti economici, pur parlando molto bene dei propri impianti, non potranno fornire garanzie internazionali affidabili. L’impianto di marca, e quindi garantito, ripeto, ha un costo sostanzialmente uguale in tutto il mondo.

Gli impianti di marca (qualcuno dice che non siano più di cinque le marche ufficialmente referenziate !) non sono pericolosi. Sono sterili, hanno una confezione sigillata con data di scadenza e una carta di identità individuale con tutte le caratteristiche ( marca, modello, spessore, lunghezza, data di fabbricazione, data di scadenza, da di inserimento nell’osso, ecc).

Il medico deve fornire sempre un consenso informato scritto, dopo gli esami preliminari, che a volte si limitano a una panoramica. Altre volte si dettaglia con radiografia endorale, altre ancora, con una Dental Scan (una tac semplificata), che dà particolari sullo spessore e l’altezza dell’osso.

Il rigetto non è possibile, essendo titanio trattato, quindi un materiale che non viene riconosciuto come estraneo. Si può perdere solo per infezione. L’infezione può nascere nei giorni successivi all’inserimento e al massimo entro il primo mese.

Parlando di impianti ufficiali è un evento raro (0,1-0,2%). Gli insuccessi riguardano esclusivamente gli impianti o gli implantologi “fai da te”.

Il mondo professionale dell’implantologia osteointegrata è un mondo sicuro e di grande affidabilità. Gli insuccessi, sempre possibili, sono una rarità. E comunque, perso un impianto (peraltro sostituito in garanzia dalla Casa conduttrice), dopo uno- due mesi se ne reimpianta un altro.

Nel caso ci sia poco osso bisogna fare delle valutazioni differenti: se è una questione di spessore si può allargare con strumenti speciali (split-crest) sino a poter alloggiare un impianto di 2,8 o 3,2 millimetri. Se viceversa manca l’altezza, ci sono diverse opzioni. All’arcata superiore nei settori laterali, a fianco del naso, ci sono due vuoti (seni mascellari), che possono essere in parte riempiti con una matrice ossea che nel volgere di sei-otto mesi diviene vero e proprio osso.

Gli interventi si chiamano grande e rialzo di seno mascellare.

All’arcata inferiore il problema grosso è la presenza di un canale all’interno del quale corre, tra l’altro, il nervo mandibolare inferiore che, assolutamente, non va danneggiato.

Nel settore corrispondente al mento c’è sempre osso a sufficienza (con rarissime eccezioni!), ma lateralmente può succedere che l’osso che ricopre il canale sia spesso 2-4 millimetri).

In questo caso gli impianti non si mettono, se non si arriva almeno a 10 millimetri.

Recuperare quest’osso è la sfida dei prossimi anni. Tutte le soluzioni proposte, benché spesso invasive, hanno, a diverso titolo, un margine ampio di insuccesso.

Per poter inserire un impianto non c’è bisogno di anestesie speciali: l’anestesia è la stessa che si fanno per la cura della carie o per un intervento di chirurgia parodontale: un’anestesia locale. L’ho chiamata anestesia in tre tempi affinché la stessa sia davvero indolore.

Tranne che per esigenze particolari del paziente ,preferisco procrastinare ad almeno due mesi il carico, cioè il posizionamento della corona (capsula). Questo perché voglio favorire al massimo la qualità della guarigione gengivale.

Dopo l’intervento, bastano poche ore di riposo e relax. Poi si può riprendere la consueta attività lavorativa, a condizione che non si tratti di lavori speciali (grosso impegno muscolare, esposizione a fonti di calore, ecc).

Il paziente assume comunque per 4-5 giorni antibiotico, antinfiammatori e collutori antisettici. Dopo sette-dieci giorni si tolgono i punti (alcuni impianti sono flapess, cioè senza taglio della gengiva). Tolti i punti viene spiegato come pulire la zona.

Sostanzialmente non esistono controindicazioni alla implantologia, anche un diabetico o un trapiantato, con le dovute cautele, può essere sottoposto a un intervento di implantologia.

Al fumatore consiglio di ridurre le sigarette sotto la soglia di cinque al giorno. Ma il fumo, se la placca è tolta con cura, è un problema a lungo termine, interferendo sul normale funzionamento della arteriole e quindi del nutrimento osteogengivale.

L’intervento di inserimento di impianti serve in mancanza di uno o più denti. In questo caso mi rifiuto di fare i cosiddetti ponti, limando denti naturali sani.

Altra cosa è dover utilizzare uno o due molari o premolari devitalizzati, che consiglio di incapsulare appena possibile per evitare possibili fratture.

 

GLI IMPIANTI SONO INEVITABILI?

Credo che fatta eccezione per alcune situazioni patologiche particolari, quali le agenesie dentali (cioè la mancanza dalla nascita di uno o più denti) o le gravi displasie dentali (cioè la grave malformazione della corona dentale) , la protesi e quindi l’implantologia debbano appartenere all’odontoiatria del passato.

L’odontoiatria di oggi, e in questo ambito intendo quella degli ultimi trent’anni, deve avere uno scopo esclusivamente medico: prima prevenire e curare, eventualmente e tempestivamente, quello che è sfuggito alla prevenzione.

Una prevenzione ben applicata, nella sua semplicità e , a un tempo, sistematicità, impedisce al 95% la formazione della carie e della malattia parodontale. Ciò che sfugge sono forme fruste e iniziali, facilmente curabili.

Pertanto l’odontoiatria di oggi e soprattutto quella di domani non prevede la perdita di nessun dente per nessun motivo.

È possibile affermare con serenità l’equazione che la buona odontoiatria può dare come risultato l’azzeramento degli impianti e delle protesi.

www.istitutoodontoiatricoitaliano.it     www.esteticadentale.it

Lascia un commento

Il tuo indirizzo email non sarà pubblicato. I campi obbligatori sono contrassegnati *

Moderazione dei commenti attiva. Il tuo commento non apparirà immediatamente.

Questo sito utilizza Akismet per ridurre lo spam. Scopri come vengono elaborati i dati derivati dai commenti.