Questo minerale ha una azione positiva su tutto l’organismo. Ma attenzione a non esagerare.
Recenti studi epidemiologici hanno stabilito che un apporto quotidiano di fluoro ha un effetto benefico su tutto l’organismo.
Se assunto entro i primi 2 anni di vita riduce dell’80% l’incidenza della carie; del 25-40% se assunto tra i 2 e i 4 anni.
Nelle regioni dove si effettua la fluorizzazione delle acque potabili, si è notato una diminuzione della incidenza della demenza senile e delle malattie cardiovascolari.
Insomma il fluoro fa bene non solo ai denti ma occorre non assumerne in eccesso.
Infatti la fluorizzazione delle acque potabili va contenuta entro la dose raccomandata di 1 ma/litro; mentre in caso di fluoro profilassi, il dosaggio complessivo deve essere al di sotto di 0,5 mg per kg.
Il rischio di intossicazione acuta di fluoro è remoto se non impossibile, in quanto occorrerebbe ingoiare centinaia di compresse, mentre quello di tossicità cronica è più frequente e può essere determinato da dosi pari o superiore a 0,5 mg/kg pro die, oppure da un livello di fluorizzazione delle acque superiore ai 6-8 mg/litro.

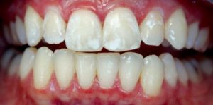
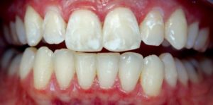
Il segno tipico di una iperfluorosi lo si legge sui denti che presentano alterazioni dello smalto (per il fluoro assunto in eccesso entro i 4n anni di vita). L’aspetto è pergamenoso o brunastro con macchie biancastre e striature e permane per tutta la vita. Ha una valenza prevalentemente estetica e non influisce sulla resistenza alla carie che generalmente è buona.
Nei casi più marcati di iperfluorosi dentale il dentista può mettere in atto alcune procedure che possono migliorare l’aspetto estetico.
Si può approcciare la discromia con uno sbiancamento dentale secondo la tecnica del Nightguard Bleaching messa a punto dal Prof. Haywood della North Caroline University nel 1989 e testato l’anno successivo dalla New York University. Utilizza il perossido di carbammide al 10% in gel da inserire in formine individuali fornite dal dentista e che si applicano sulle arcate dentali prima di andare a dormire.
Altri suggeriscono sistemi abrasivi (per fluorosi superficiali) che eliminano la “pellicola” di smalto ipercromica. Altri ancora le faccette di porcellana, che sono dei rivestimenti estetici della faccia visibile del dente (soluzione invasiva).
Dal punto di vista preventivo, iperfluorosi si evita eliminando i sovradosaggi e facendo seguire la fluoro profilassi da un pediatra. Occorre porre la dovuta attenzione ai bambini che in tenera età puliscono i denti da soli. Infatti i dentifrici a fluoro per l’infanzia sono di gusto gradevole per cui essi tendono a ingerirli.
Il genitore oltre a seguire personalmente l’igiene orale del figlio dovrà utilizzare sullo spazzolino una quantità di dentifricio non superiore alle dimensioni di un pisello.
Infine non va dimenticata l’azione cariostatica (inibizione della formazione della carie ) che il fluoro esercita.

Gianfranco Aiello è stato docente di odontoiatria presso l’Università di Padova, svolge la sua attività professionale a Milano e Salerno.
Presiede l’attività di ricerca dell’Accademia di Estetica Dentale Italiana e dell’Istituto Odontoiatrico Italiano ed è stato consulente della Fondazione Veronesi.
Collabora con diverse testate giornalistiche ( Starbene, ecc.) e televisive.
Cura il sorriso di molte star dello spettacolo, dello sport, ma anche, gratuitamente, quello dei bambini bisognosi e segnalati da istituzioni umanitarie. www.istitutoodontoiatricoitaliano.it www.esteticadentale.it